Invisalign®

stars
Over 1,900 reviews!

Most Reviewed in Washington State

Our focus on patient care and satisfaction, and our commitment to providing individualized, high-quality treatments, has made us the highest rated practice in Washington and among the highest rated dental offices in the country. You can rely on us to help you achieve and maintain a healthy, beautiful smile!

Request Appointment

A Modern Approach to a Straighter Smile

Achieving a straighter smile no longer requires metal brackets or wires. Invisalign® clear aligners in Liberty Lake, Yakima, and Ellensburg, WA, provide a discreet and comfortable way to improve your bite and align your teeth. These transparent trays are custom-made to gradually shift your teeth into place, making them an excellent alternative to traditional braces for teens and adults alike. At Avanta Dental, our dentists and team offer expert guidance through every step of the process to ensure optimal results.

TOP-RATED DIAMOND INVISALIGN PROVIDER
IN YAKIMA AND ELLENSBURG, WASHINGTON

$500 OFF INVISALIGN TREATMENT

 

This new patient special is a limited time offer and ends soon!

FREE

Invisalign Treatment in Liberty Lake, Yakima, & Ellensburg, WA

CONSULTATION

 

Questions? Avanta Dental offers complimentary Invisalign consultations!


Why Choose Invisalign Treatment?

Patients choose Invisalign aligners in Liberty Lake, Yakima, and Ellensburg, Washington, for both aesthetic and practical reasons. Because the aligners are clear, they are barely noticeable when worn. This allows you to continue your daily activities and social interactions with confidence. Additionally, Invisalign aligner trays are removable, making it easy to maintain your regular oral hygiene routine and enjoy your favorite foods without restriction.

Some key benefits of Invisalign treatment in Liberty Lake, Yakima, and Ellensburg, WA, include:

  • Nearly invisible aligners for discreet treatment
  • Smooth plastic trays that reduce irritation to cheeks and gums
  • Fewer office visits compared to traditional braces
  • Predictable results with advanced 3D imaging technology

Our dentists and team use this innovative system to treat a variety of orthodontic concerns, including crowding, gaps, overbites and underbites.

Get Orthodontic Treatment with Invisalign

What to Expect During Treatment

Your journey with Invisalign treatment in Liberty Lake, Yakima, and Ellensburg, Washington, begins with a thorough consultation at our office. During this visit, our dentists will assess your smile and discuss your goals. If you are a candidate for Invisalign aligners, we will take digital impressions of your teeth to create a personalized treatment plan.

You will receive a series of custom aligners designed to gradually move your teeth into their proper positions. Each set is worn for about two weeks before progressing to the next. Most patients complete treatment within 12 to 18 months, depending on their individual needs.

To ensure success, it is essential to wear the aligners for 20 to 22 hours per day and follow all instructions provided by our dentists.

Start Your Invisalign Aligner Journey Today

If you are ready to explore a more convenient and modern approach to orthodontics, contact us at 509-457-5050. Our dentists and team are proud to offer Invisalign® clear aligners in Liberty Lake, Yakima, and Ellensburg, WA, with personalized care and outstanding results. Schedule your consultation today and take the first step toward a healthier, more confident smile.


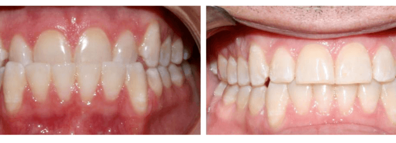
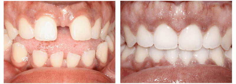
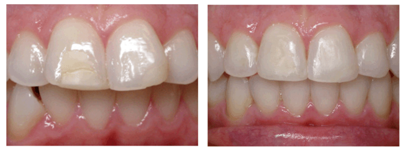
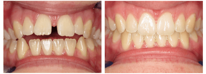
Our Results For Invisalign Treatment


Frequently Asked Questions About Invisalign Aligners


How do I care for my Invisalign® aligners?

To keep your aligners clean and clear, rinse them with lukewarm water and gently brush them with a soft toothbrush daily. Avoid using hot water, which can warp the plastic. It is also important to store them in their case when not in use to prevent damage or loss.



Can I play sports or musical instruments while wearing Invisalign®?

Yes, Invisalign® aligners are designed to fit comfortably and stay in place during everyday activities, including sports and playing musical instruments. For contact sports, it is recommended to remove your aligners and wear a mouthguard for added protection.



Will Invisalign® affect my speech?

Some patients may notice a slight lisp when they first begin wearing Invisalign® aligners. This is usually temporary and resolves as the mouth adjusts to the trays. Most individuals speak clearly within a few days of starting treatment.



Is there a specific age requirement for Invisalign®?

Invisalign® is suitable for both teens and adults. However, it is generally recommended for individuals whose permanent teeth have fully developed. Our dentists will assess your dental development during the consultation to determine if Invisalign® is appropriate.


What areas do you serve for Invisalign® treatment?

We proudly provide Invisalign® clear aligner treatment to patients in Yakima, Washington, and surrounding areas. Whether you live nearby or in a neighboring community, our experienced dentists at Avanta Dental are here to help you achieve your smile goals with personalized care.


New Client Special
Receive Up To $500 OFF!

Schedule an Invisalign Consultation

By submitting this form I agree to be contacted by phone or email.

Invisalign and the Invisalign logo, among others, are trademarks of Align Technology, Inc., and are registered in the U.S. and other countries.